“吃葡萄不吐葡萄皮,不吃葡萄倒吐葡萄皮”这可是一句非常经典的绕口令,对大部分人来说,听到这句话可能会想到酸甜可口的葡萄,但对眼科从业工作者来说,他们除了会想到葡萄之外,还可能联想到一种眼疾——葡萄膜炎。
葡萄膜炎严重将致盲,需及时治疗
眼球有三层不同的组织包覆,外层是巩膜(眼白),内层是视网膜,介于视网膜与眼白中间的就是葡萄膜,葡萄膜炎就是发生在葡萄膜组织的炎症。感染、外伤、自身免疫反应以及自身的免疫遗传因素都有可能导致葡萄膜炎。
深圳希玛眼科医院林顺潮教授表示,“由于葡萄膜富含血管及抗原,供应眼球大部分组织的血流与营养,因此如果发生炎症,有机会影响视力,严重时可导致失明。”

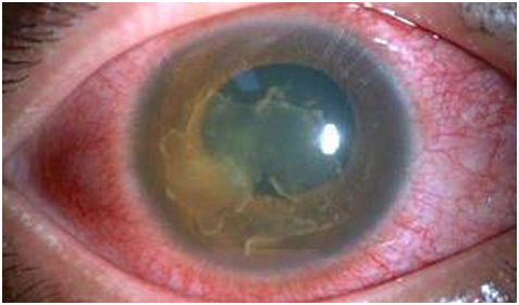
(前葡萄膜炎的炎症细胞和渗出可以严重影响视力)
因此,患了葡萄膜炎,一定要在早期进行及时的治疗,要按疗程坚持用药,争取尽快把这种眼疾消灭掉。
出现这些症状应警惕是葡萄膜炎
葡萄膜炎的临床表现以眼红、痛、畏光、流泪,视力下降,或无眼红、眼痛、眼前似有黑影飘浮、视物模糊玻璃体混浊等为特征。》》》客服
因此,一旦发现自己出现眼红、痛、畏光、流泪、视力下降或无眼红、眼痛,但眼前有黑影漂浮,视物模糊等症状,有可能患葡萄膜炎,应及时到正规医院诊治,以免错过佳治疗时机。
葡萄膜炎失治或误治,可引起许多并发症,后果非常严重。如带状角膜变性、白内障、黄斑部及视盘水肿,黄斑表面褶纹样改变,角膜水肿、青光眼、视网膜脱离等。及时正确的治疗,可以阻止这些并发症的发生。
葡萄膜炎防治的注意事项
一旦诊断为葡萄膜炎,应积极进行治疗,散瞳是治疗前葡萄膜炎的必要措施,可防止瞳孔粘连,避免继发性青光眼和并发性白内障的产生;激素是治疗葡萄膜炎的常用药物,但有副作用,不论全身或局部用药,切记不可自行停药,防止病情反复难愈。一定要在医生指导下使用,不宜滥用。
葡萄膜炎患者,应定期复查,预防复发,如自觉有复发症状,应及早诊治。
积极锻炼身体,增强体质,预防感冒,忌食牛羊肉、海鲜及辛辣刺激性食物,以防病情反复,注意劳逸结合,保持身心健康,对预防葡萄膜炎也有重要意义。