眼睛的屈光系统包括角膜、房水、晶状体和玻璃体,光线需要一次穿过它们后才能被投射在视网膜上,可想而知,当它们出现问题后将会影响光线进入眼内,我们看东西时将出现问题。
在上面四个组织中,只有角膜是直接与空气接触,因此它受到伤害的几率比其他几个要高出很多。眼角膜一旦受伤就会导致视力下降,甚至会引起失明,所以在生活中一定要保护好眼角膜,才能够保护我们的视力。那么在日常生活中,哪些事情容易导致角膜受伤呢?

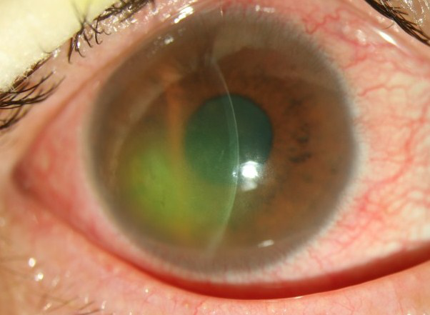
(荧光素染色检查显示角膜上皮破损病变)
生活中常见易导致角膜受伤的三种情况
1、光污染
光污染是非常常见的一种情况。电脑与手机是现在人很难离开的两种东西,工作和生活上都要用到。
如果眼睛长时间的盯着电脑或者电视屏幕,里面含有蓝光就会通过眼睛的晶状体会集中在视网膜处,让眼睛出现疲劳的状态。同时在盯着电脑的时候眼睛眨眼的频率就会降低,维持眼球表面湿润度的泪膜也会快速蒸发,不再为眼角膜提供的滋润,让眼睛感觉到不舒服。
2、长时间佩戴隐形眼镜
具有度数的隐形眼镜以及改变外观的美瞳等,它们可是受很多人的欢迎。但是希玛眼科发现,大家在戴隐形眼镜时很少注意时间,一戴就是好几个小时,而且连续长时间佩戴。
由于角膜上没有任何的血管,它的营养主要是靠着眼球中房水的渗入来提供的,所以角膜需要氧气,如果没有氧气的话就会变得越来越混浊,长期佩戴隐形眼镜就让眼角膜和氧气隔绝,从而引起眼角膜受到损伤。
3、滥使用眼药水
有一部分的人当眼睛感觉干燥的时候会使用眼药水,眼药水虽然会有消炎、舒缓的作用,但是里容易含有一些化学物质,让眼角膜承受着压力,长期下去会引起受到会受到损害。

任何角膜问题发展到后都可能出现严重后果,甚至摘除眼球,所以眼睛一旦出现畏光、流泪、眼红、视物模糊、不敢睁眼时,应及时到医院看,做一个专业的诊断和治疗,防范于未然,适当使用药物控制病情,如果眼睛表面划伤,应该多加留意。》》》客服
保护眼睛健康,防范角膜受伤
呵护角膜,加强角膜防御微生物等外敌侵害的能力,是我们必须采取的爱眼攻略。如需佩戴隐形眼镜必须注重健康、卫生和准确验配。
如需要长期使用电脑,可以戴防蓝光的眼镜;另外还应保证眼睛的充分休息,长时间用眼工作后稍稍停一下,远眺窗外或绿植,让眼睛放松。
佩戴隐形眼镜要注意时间及卫生,尽量佩戴带框眼镜,如需佩戴隐形眼镜必须注重健康、卫生和准确验配。
另外眼药水不可乱滴,一定要谨遵医嘱使用。