一般来说眼白部份的表层就是结膜,而黑眼珠的表层部分则称作角膜,角膜炎简单来说就是指角膜组织发生炎症的总称。
角膜炎严重可致失明,必须谨慎对待
因为角膜直接与外界接触,受到损伤及感染的机会较多,再加上角膜是透明、无血管的结构,其营养专靠角膜周边血管网、房水及泪水的供应,氧气则由大气中的氧气溶在泪液中供给;也因为没有血管,所以抗体产生的少,白血球等抗发炎的细胞不容易进入角膜,因此一旦有异物入侵就容易产生感染的机会,且病程长、缓慢。
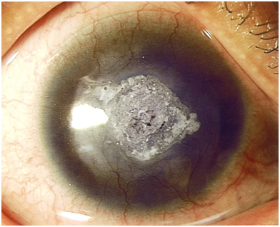
角膜透明特性是需要角膜的上皮和内皮细胞的完整无缺才可保持,一旦角膜发炎造成上皮或是内皮的损伤,就会使角膜失去透明度进而影响视觉,若是侵犯到上皮层底下的Bowman层或基质层,留下白色混浊不透明的瘢痕,挡住了瞳孔,则会性地影响视力,甚至有可能导致失明。

(角膜血管增生及出现疤痕)
眼睛疼痛异物感强烈应及时就医
由于角膜上皮层内含有丰富的感觉神经末稍,对发炎病变的刺激特别敏感,所以常有疼痛、强烈异物感、畏光、流泪、眼睛张不开等症状。有一点需注意的是,虽然角膜炎会引起角膜周围充血发红,但轻微的表层角膜炎也可能没有任何充血现象,因此大家不能只凭眼睛观察,觉得不严重而松懈。》》》客服
角膜炎基本的治疗方式就是使用眼药水或眼膏,这都是在眼睛局部起作用的治疗。如果眼睛局部的治疗不能控制炎症,就有必要在此基础上全身用药,比如口服或者打静脉针。甚至严重时需要手术治疗。
细菌性角膜炎需要立即使用抗生素治疗,可以尽快杀灭或抑制细菌,控制炎症发展,减轻病情。如果有实验室检查可以确定是某一种特定的细菌感染,可以再针对性地使用某些药物。
真菌性角膜炎病情发展的比较快,所以一旦确诊,就需要立即打静脉针、口服抗真菌药,以及眼睛局部使用抗真菌的眼药水,并且住院密切观察,必要时需多次手术治疗。
病毒性角膜炎基本的治疗方式就是用抗病毒的眼药水及眼膏点眼睛,如果病情比较重,就需要口服药物或者打静脉针治疗。严重的患者也可能导致角膜溃烂甚至穿孔,需手术治疗。
深圳希玛林顺潮眼科医院在角膜及眼表疾病的诊疗方面由拥有丰富的临床及教研经验国内外医生,根据不同的病因采用适合的疗法,帮助众多患者从病痛中解救出来。